Arapaima a candidate for intensive freshwater culture
Arapaima, also known as pirarucu or paiche, offers appealing flesh color and texture, low fat content and high levels of protein and fatty acids.
A significant correlation was established between ovarian fluid pH of stripped eggs and subsequent hatch of hybrid catfish eggs.
Arapaima, also known as pirarucu or paiche, offers appealing flesh color and texture, low fat content and high levels of protein and fatty acids.
After a decade of research, Korea has produced individual glass eels for Japanese eel aquaculture. Despite dependence upon the wild seed, Japanese eel aquaculture production has been growing significantly and comprises over 27 percent of Korea’s freshwater aquaculture.
Development of integrated aquaculture systems could assist in improving environmental quality and changing public perceptions of aquaculture.
The establishment of land-based recirculating systems for cobia could expand production of the species. The authors, who demonstrated cobia are well suited for culture in tanks, conducted a study to compare the performance of cobia reared at different densities.
The quality of postlarvae supplied by a shrimp hatchery can vary considerably. Common myths, such as acceptance of low survival and insufficient concern for water quality, can contribute to lower animal quality.
A project of the Soy-in-Aquaculture program evaluated the feasibility of using soy protein concentrate and soybean meal to replace fishmeal in cobia diets.
Research found that tobacco dust applied in culture water killed ramshorn snails within three days and did not compromise channel catfish.
A multinational project in Lombok, Indonesia, is focused on the identification and monitoring of improved seed collection and grow-out production methods for spiny lobsters.
In a study, the performance of gilthead sea bream juveniles fed diets with no fishmeal was compared to that of bream fed diets with 30 or 10 percent fishmeal.
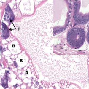
Researchers studied the nature of muscle necrosis in shrimp by sampling infected shrimp from local ponds and challenging healthy specimen with filtrates from the diseased shrimp.
The 2001 detection of chloramphenicol in shrimp imported into the Netherlands heightened awareness of and anxiety over the presence of chemicals in food.
Those charged with determining the underlying cause of a disease outbreak have a wide variety of detective tools at their disposal.
Shrimp survival, weight, yield and feed conversion were better in farm units that operated with settling chambers for solids removal than in units without.
Combining biofloc technology with bio-secure modular shrimp culture can make operations more sustainable and economically viable. For optimized biofloc production, lined ponds and reservoirs and high stocking densities are essential. Paddlewheel aerators keep dissolved-oxygen levels high.
Germany produces a limited amount of carp, trout, mussels and other species. Although traditional pond-based farms continue to operate, the country’s aquaculture production is trending toward land-based systems that feature efficient resource use and reduced environmental impacts.