Nueva investigación fundamental para el diagnóstico de la enfermedad y el seguimiento de las epidemias

La epiteliocystis es una infección emergente en la dorada cultivada, y también es letal en los cultivos de mesocosmos de larvas de sargo picudo. Dos estudios de esta enfermedad en sitios en Grecia y Creta han caracterizado los quistes branquiales y de la piel en más detalle. El análisis genético muestra que las infecciones en estas especies de peces son causadas por bacterias diferentes y nuevas, y la secuenciación del genoma está aportando conocimientos sobre la diversidad de estos patógenos y su estilo de vida. Esta investigación es fundamental para el diagnóstico de agentes que causan la epiteliocystis, y ayudará a rastrear las epidemias de la enfermedad.
Epiteliocystis en espáridos
La epiteliocystis es una enfermedad de peces de agua dulce y salada, causando quistes principalmente en las branquias y epitelios de la piel de juveniles y adultos. Estudios anteriores han demostrado que la mayoría de las infecciones involucran bacterias relacionadas con Clamidia, lo que significa que la mayoría de los estudios sólo buscan estas. Sin embargo, en los últimos años, nuevos descubrimientos han demostrado que otras bacterias, altamente no relacionadas también se encuentran causando epiteliocystis.
Hasta la fecha hay muy poca información acerca de esta enfermedad en especies de peces acuícolas de alto valor criados en el Mediterráneo. Algunos estudios realizados en la década de 1970 describen la enfermedad en la dorada, pero sin ninguna información sobre cuál es la causa. Dos estudios nuevos se han enfocado en esta falta de información, mirando la epiteliocystis en dorada cultivada en Grecia, y en un cultivo de mesocosmo de larvas de sargo picudo en Creta.
Se ha encontrado que la epiteliocystis es una enfermedad emergente en la dorada. En cuanto a los casos diagnosticados en los últimos 15 años dentro de una empresa acuícola comercial, la mortalidad atribuida a epiteliocystis ha aumentado de 0-2 por ciento (como el porcentaje de todos los peces), con una tendencia al alza en curso. Esto corrobora muchos cuentos anecdóticos de los números de casos de epiteliocystis que están aumentando, que hasta ahora, por desgracia, no se registran. Nuestro estudio investigó cohortes de peces infectados en 3 sitios desde noviembre 2012 hasta junio 2013, algunos de los cuales fueron muestreados durante los brotes de epiteliocystis. Hospederos que son capaces de eliminar la infección no parecen sufrir de infecciones recurrentes.
El sargo picudo se está proponiendo como una nueva, deliciosa especie candidata para traer a la acuacultura. Usando métodos de mesocosmos en los que las larvas se cultivan en tanques de agua de mar suplementada, hemos encontrado altos índices de mortalidad (hasta un 25 por ciento) como resultado de epiteliocystis. Los juveniles que sobrevivieron fueron capaces de despejar la enfermedad y fueron trasladados a tanques de engorde.
Diagnosis of epiteliocystis
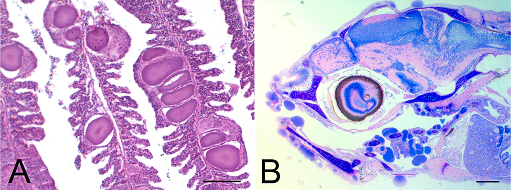
Los peces sacrificados se pueden diagnosticar con el microscopio óptico (Figura 1A y 1B) por los grandes quistes visibles en las branquias o en la piel de las larvas.
La tinción de secciones de peces infectados utilizando hematoxilina y eosina o con azul de metileno / azure II / fucsina básica también puede ayudar a los patólogos con el diagnóstico (Figura 2A y 2B). En ambos casos hemos visto quistes que son basófilos, con hasta 100μm de diámetro, rodeados de membranas gruesas eosinófilas, con diversos grados de hiperplasia epitelial. En dorada, las laminillas branquiales secundarias pueden estar redondeadas y fundidas, haciendo que el área de superficie de las branquias se reduzca de manera significativa, y una inflamación leve es aparente. Los quistes dentro del sargo picudo tienen una apariencia más granular.

Imágenes detalladas de epitelioquistes
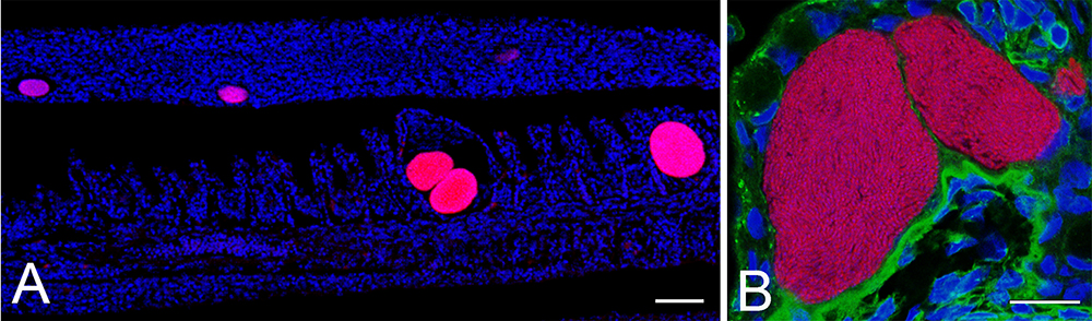
La determinación de las bacterias involucradas en estas infecciones se realizó por secuenciación de un gen de firma, el gen ribosomal 16S ARN, que se utiliza para identificar especies bacterianas. Una vez que se conoce la secuencia de este gen, sondas fueron diseñadas contra las secuencias específicas y utilizadas para confirmar que estas bacterias son de hecho las responsables de las infecciones, ya que residen en grandes cantidades dentro de los quistes (Figura 3A y 3B).

Como estas bacterias sólo se han encontrado hasta ahora en el pez hospedero, y no han sido cultivadas en el laboratorio, los métodos para su investigación son limitados. Por lo tanto, microscopía electrónica de transmisión (TEM) de alta resolución se utilizó para obtener más de una visión del entorno del quiste, y mostró dos tipos muy diferentes de bacterias, ninguna de las cuales se ve como el tipo familiar de quiste de clamidias (Figura 4A y 4B).
Identificación de nuevos patógenos de epiteliocystis
Usando la información de secuencia, las bacterias responsables de los grandes quistes han sido identificadas como nuevos patógenos de peces. Una nueva familia de bacterias, que hemos denominado Ichthyocystis, se encuentra dentro de la dorada, y una especie del grupo de bacterias marinas Endozoicomonas ampliamente distribuida se encuentra en sargo picudo. Estas no están en absoluto relacionadas con patógenos de clamidia previamente encontradas en epiteliocystis: las beta-proteobacterias Ichthyocystis están relacionadas con bacterias Pseudomonas y Vibrio, y la familia Endozoicomonas pertenece a las gamma-proteobacterias, más estrechamente relacionadas con los agentes causantes de la meningitis o la melioidosis.
Trabajo adicional en los genomas de estas bacterias mostró que las bacterias Ichthyocystis son muy diversas, con muchas cepas circulando y co-infectando hospederos. Están son claramente bacterias intracelulares, y por lo tanto son completamente dependientes de los peces como hospederos. Las bacterias Endozoicomonas están relacionadas con simbiontes conocidos de diversos hospederos marinos, pero parecen estar evolucionando a un nicho más específico, tal vez como patógenos dedicados de peces.
La aparición de estos nuevos agentes de epiteliocystis debería ser un motivo de preocupación para los involucrados en la acuacultura y el bienestar de los peces. Estas bacterias ahora se pueden añadir a las muchas especies de Chlamydiae que se sabe causan epiteliocystis, y que también se encontraron en las branquias de dorada, aunque a niveles más bajos. Estos estudios ponen de relieve la necesidad de la comunidad de utilizar herramientas más avanzadas para supervisar y diagnosticar esta enfermedad.

Perspectivas
Este trabajo muestra que nuevas infecciones de peces están surgiendo todo el tiempo, resultando en patologías reconocidas, pero causadas por agentes bacterianos variados. La investigación detallada debe continuar, especialmente porque peces de alto valor están involucrados y las incidencias parecen estar en aumento. Se necesita más investigación sobre los peces infectados de sitios más lejanos para investigar cuan extendidas y diversas están estas bacterias. Un registro más detallado de las enfermedades y el intercambio de datos también se requieren para detallar el impacto que estas infecciones están teniendo en la industria acuícola.
Estos estudios son un primer paso hacia la comprensión de las bacterias implicadas en epiteliocystis, y pueden conducir a un diagnóstico más rápido y preciso. Esto es necesario para determinar si las mejoras en la cría de animales pueden reducir las tasas de infección y mejorar la salud de los peces, y si vacunas se pueden desarrollar en el futuro.
Notas de autor:
Si está interesado en ayudar nuestra investigación adicional con datos o muestras, favor contacte al Dr. Pantelis Katharios, katharios@hcmr.gr. Todas las imágenes reimpresas con permiso de Macmillan Publishers Ltd: Scientific Reports, doi: 10.1038/srep17609 (2015) and The ISME Journal, doi: 10.1038/ismej.2015.223 (2015).
Publicaciones describiendo este trabajo:
Katharios, P. et al. “Environmental marine pathogens: striking genomic and morphological features of a novel Endozoicomonas sp. causing disease in sharpsnout seabream”. Scientific Reports (2015), doi: 10.1038/srep17609
Seth-Smith, H.M.B. et al. “Emerging pathogens of gilthead seabream: characterisation and genomic analysis of novel intracellular β—proteobacteria.” The ISME Journal (2015), doi: 10.1038/ismej.2015.223
Authors
-
Dr. Helena Seth-Smith
Functional Genomics Center Zürich
University of Zürich,
Winterthurerstrasse 190 8057
Zürich, Switzerland[107,117,46,103,114,111,46,104,116,105,109,115,45,104,116,101,115,64,115,115,104]
-
Dr. Pantelis Katharios
Institute of Marine Biology
Biotechnology and Aquaculture
Hellenic Center for Marine Research
Heraklion, Crete, Greece
[114,103,46,114,109,99,104,64,115,111,105,114,97,104,116,97,107]
-
Prof. Lloyd Vaughan
Institute for Veterinary Pathology
Vetsuisse Faculty,
University of Zürich,
Winterthurerstrasse 268, CH-8057
Zürich, Switzerland
[104,99,46,104,122,117,46,104,116,97,112,116,101,118,64,108,110,97,104,103,117,97,118]
Tagged With
Related Posts
Health & Welfare
El uso juicioso de fósforo es clave para la salud de los peces cultivados
El fósforo en la dieta es esencial para el crecimiento y desarrollo saludable del esqueleto de los peces cultivados. La salud de los peces, la disponibilidad limitada y las preocupaciones ambientales todas instan a la acuicultura moderna a manejar los recursos de fósforo con prudencia y de manera sostenible.
Health & Welfare
Emerging epitheliocystis disease in Mediterranean sparids caused by novel bacteria
Epitheliocystis is an emerging infection among farmed gilthead seabream and is also lethal in mesocosm cultures of sharpsnout seabream larvae. Two studies of this disease at sites in Greece and Crete have characterized the gill and skin cysts in more detail.