Advances in tank culture of sunshine bass fry
The successful development of efficient tank culture techniques for sunshine bass fry and fingerlings would help in the year-round production of fish of uniform size and quality.
New antibody-based diagnostic kits for aquaculture disease diagnosis are simple and fast, and high-sensitivity PCR testing is coming to the field, as well.
The successful development of efficient tank culture techniques for sunshine bass fry and fingerlings would help in the year-round production of fish of uniform size and quality.
Artificial diets are used to replace live artemia at commercial shrimp hatcheries, but complete replacement remains a challenge for strong grow-out results.
Seaweed products like extracts are ingredients in many beauty products and creams, and widely marketed as natural herbal and weight-reduction products.
Tiger flatworms hold promise as a source for ecteinascidins, a class of antitumor compounds under study for human cancer treatment.
Penaeid shrimp need the same nutrients required by all animals, including protein, lipids, energy sources, vitamins, minerals, oxygen and water.
A commercial oxygen injection system tested in Norway maintained D.O. at levels that sustained growth and increased the harvested biomass.
The Quality Index Method provides guidelines for objectively assessing seafood freshness with specific criteria for individual species.
While freezing, salting, smoking and irradiation can minimize growth biogenic amine formation, special care from harvest through consumption can prevent scombrotoxin poisoning.
Since biogenic amines are a health issue in seafood, harvesters and processors should understand what conditions encourage their formation, where they form in fish, and how they are affected by bacterial flora.
Without proper control of seafood handling and processing, high amino acid content and bacterial activity can rapidly elevate concentrations of biogenic amines like scombrotoxins.
Electron beam treatment can inactivate pathogens in foods. E-beams could be applied to fish as a pasteurization/sterilization step without changing product temperature.
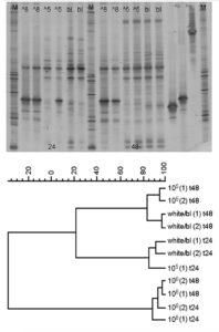
In a challenge study of catfish families identified as resistant or susceptible to enteric septicemia (ESC), immune response was activated 24 hours earlier in resistant families and bacterial levels were suppressed.
Juvenile SPF Kona-line shrimp were injected with V. penaeicida, causing significant disease, but certain bacterial concentrations allow survival long enough for additional testing.
Technical literature varies in reporting the ability of vitamins to improve fish survival and resistance to disease following infection with pathogens.
RAS technology can be applied to shrimp culture. The author developed a small-scale prototype RAS for shrimp larval culture that successfully reared monodon nauplii to PL15.